Sản phẩm kem bôi da Thuần Mộc hiện nay rất được tin dùng cho các bệnh ngoài da phổ biến. Bởi thành phần của Thuần Mộc từ các cây thuốc thiên nhiên nên rất an toàn, không có tác dụng phụ. Tuy nhiên tác dụng của kem bôi Thuần Mộc rất nhiều khách hàng còn chưa hiểu rõ vậy qua bài viết chúng tôi sẽ nêu ra những công dụng chính của sản phẩm, để khách hàng yên tâm sử dụng.
Kem bôi Thuần Mộc có tác dụng gì?
1, Dành cho trẻ em và người lớn bị hăm da
Là tình trạng viêm nhiễm tại các nếp gấp da trên cơ thể như nách, cổ, hang, kẽ ngón tay, chân khi các bộ phận ấy không được chăm sóc và vệ sinh hợp lý, thường gặp ở trẻ em.

2, Chàm Sữa
Da bé suất hiện những nốt mẩn đỏ trên da bé ở các vị trí như mặt, hai bên má, có thể lan ra đầu, thân khiến trẻ ngứa ngáy, khó chịu, thường xuyên quấy khóc, nếu không được khắc phục có thể gây nhiễm trùng, ảnh hưởng tới sức khỏe. Nguyên nhân do da trẻ còn non mà tiếp xúc với môi trường, hóa chất, bông, vải nên dễ bị dị ứng, có thể do cơ địa của bé dễ dị ứng, và dị ứng do nguồn thức ăn của mẹ. trị viêm lỗ chân lông

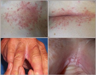
3, Viêm lỗ chân lông(Viêm nang lông)
Viêm lỗ chân lông là bệnh ngoài da phổ biến do vi khuẩn hoặc nấm gây nên bên trong nang lông gây nên các mụn nhỏ có mủ tại ngay nơi cộng lông hoặc tóc mọc. Khi bị bệnh có thể bị ngứa hay không ngứa tùy theo tình trạng của bệnh, vùng da bị bệnh nổi nhiều mụn nhỏ rất mất thẩm mỹ.

4, Viêm da cơ địa
Thường gặp ở trẻ em và ở người lớn. Những người mắc bệnh viêm da cơ địa xuất phát từ nguyên nhân di truyền hoặc các yếu tố môi trường tác động. Mỗi khi thời tiết chuyển lạnh, hanh khô những triệu chứng của bệnh viêm da cơ địa lại “hoành hành” khiến người bệnh cảm thấy ngứa, khó chịu.

5, Hắc lào
Thường xuất hiện những đốm tròn tựa đồng xu, có mụn nước nhỏ, ở giữa là đám vảy bong nhẹ, về sau thì vết đỏ to dần lên, lan ra xung quanh, đổi màu và rất ngứa nguyên nhân gây ra bởi các loại nấm khác nhau.

6, Lang ben
Đây là bệnh khá phổ biến biểu hiện có những vệt trắng những cụm da loang lổ gây ngứa, nguyên nhân là nhiễm nấm Pityrosporum ovale. Bệnh có xu hướng lây lan dễ dàng từ người này sang người khác trong môi trường nhiệt đới nóng ẩm

7, Nước ăn chân tay
Là một loại nấm có tên Epydermophyton interdigitale gây nên gọi là bệnh “nấm kẽ chân”, biểu hiện là da kẽ chân tay viêm nhiễm, đỏ ngứa bệnh hay xảy ra ở những người thường xuyên tiếp xúc với nước do mưa, ngập úng, hay do đặc thù công việc

8, Các loại nấm da, nấm đầu
Đây là một trong các loại bệnh da liễu mà ai trong chúng ta cũng có thể mắc phải, nguyên nhân da chúng ta bị các loại nấm phát triển gây đỏ mẩn ngứa, bong da, đặt biệt vùng da đầu gây ảnh hưởng rất lớn tới thẩm mỹ. Có rất nhiều loại nấm da mà chúng ta có thể gặp phải như nấm kẽ, nấm móng, nấm tóc, lăng ben.

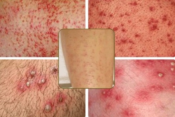
8, Người bị Ghẻ Ngứa
Ghẻ là do một loại ký sinh trùng gọi là “cái ghẻ”, Scarcoptes scabiei hominis, gây ra. Đây là một bệnh ngoài da do lây nhiễm, cái ghẻ thường hoạt động về đêm, xâm nhập vào lớp sừng của thượng bì, đào hầm (rãnh ghẻ) tìm đồ ăn và đẻ trứng gây nên những mụn nước và ngứa dữ dội nhất là ban đêm. Đặt biệt chúng thường suất hiện ở kẽ đầu ngón tay và bàn chân.

Ngoài ra kem bôi da thuần mộc thanh mộc hương còn điều trị mẩn ngứa, côn trùng đốt, viêm nhiễm ngoài da do vi khuẩn, vết chốc lở. Tuy nhiên hiệu quả của sản phẩm tùy theo cơ địa mỗi người, có thể nhanh hay chậm, với những bệnh ngoài da lâu ngày khó chữa như viêm da cơ địa, nấm da đầu bạn cần kiên trì sử dụng thuốc ngày 2 lần, kiêng những sản phẩm dầu gội và chất tẩy rửa công nghiệp.
